党委信箱 | 院长信箱 | English | 投稿专线

医疗新闻

当前位置:首页 > 医疗新闻

妙手铸新生——普外一科完成一例巨大肝脏肿块并肝脏左三叶切除术

党总支: 科室:普外一科 作者:徐宏博 时间:2015/5/11 16:26:02 点击数:
打印 打印 字号:T| T

近日,正积极准备高考的小雨(化名)因间断性上腹痛入当地医院检查,不幸发现肝脏巨大肿块,且不排除恶性可能。因肿块巨大,辗转省内几家大型医院均认为治疗十分棘手,作为家属希望的最后站,就诊于我院普外一科(肝胆胰外科)。

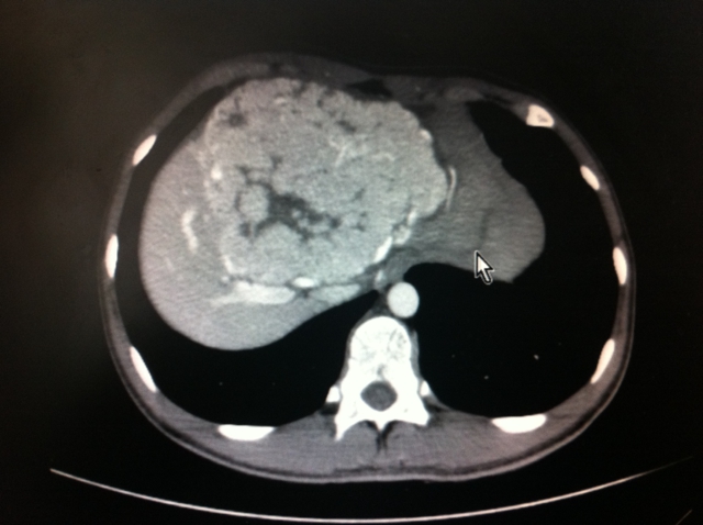
我院CT检查显示:肝中叶巨大肿块,大小约11*12cm,严重包裹或压迫肝脏血流的流入道和流出道。左、右肝动脉和左、右门静脉为肝脏的4支主要供血血管,左、中、右肝静脉为3支流出血管。而小雨的肝脏肿块包裹了左肝动脉、左门静脉、左肝静脉和中肝静脉,同时严重压迫右肝静脉、右肝动脉、右门静脉(图1)。

“可以说,这如同横架在小雨肝脏所有重要血管上的定时炸弹,很可能在不久的将来夺走其年轻的生命,手术切除好比拆除炸弹,”小雨的主管医师罗宏武教授在分析病情时说道。但面对小雨母亲几近哀求的目光,考虑到小雨年仅19岁,罗教授毅然决定实施手术。

术前由普外一科专家刘浔阳、黄飞舟、聂晚频等教授共同会诊,进行了深入的术前讨论,制定了详细的手术方案。主管医师张瑞主治医师进行了细致的术前准备。手术由黄飞舟、罗宏武两位教授共同主刀,历时3小时,成功为小雨将巨大肝脏肿块和肝左三叶完整切除(图2)。小雨术后恢复顺利,术后仅8天便康复出院。出院时,小雨的母亲感激地说:“感谢湘雅三医院给了我们全家新的生命。”

据了解,肝脏分为八段,而小雨的肿块占据了其肝脏的一、二、三、四、五、八段,仅六七两段为正常肝脏,在完整切除肿块的同时还需完成肝脏左三叶切除,该手术的难度和风险均为肝脏切除手术中最高级别。



 

预约挂号:0731-88618576、88618577   急救电话:0731-88618120

医院地址:湖南省长沙市河西岳麓区桐梓坡路138号 中南大学湘雅三医院 版权所有

湘教QS3-200505-000574 备案序号:湘ICP备05001139号 今日访问人数:170823 总访问人数:440880680

技术支持:长沙网站建设-国捷人工智能