党委信箱 | 院长信箱 | English | 投稿专线

医疗新闻

当前位置:首页 > 医疗新闻

神经外科先后成功完成多例高难度脑深部手术

党总支:第五党总支 科室:神经外科 作者:庄恺 时间:2022-05-06 点击数:
打印 打印 字号:T| T

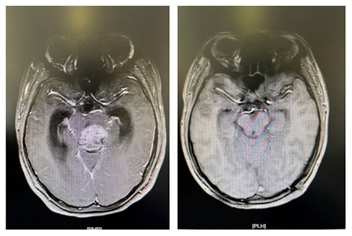
4月8日,中南大学湘雅三医院神经外科王知非教授团队在全麻插管下为11岁患儿顺利实施松果体肿瘤切除术。该患儿术后恢复良好,已于4月30日顺利出院。

据了解,患儿小周今年11岁,因突发头痛呕吐、视物模糊前往医院就诊。到医院检查得知小周颅内松果体区长了一个鹌鹑蛋大小的肿瘤,并且已造成梗阻性脑积水,颅内高压,若不及时处理,随时有生命危险。医院神经外科王知非教授团队在接诊的首日就为患儿行急诊脑室外引流术缓解症状以便争取时间,随即为患儿制定手术方案。4月8日,王知非教授团队在全麻插管下为患儿行松果体肿瘤切除术,术后,患儿头痛呕吐视物不清等症状均好转,无任何功能障碍。

术前肿块影像                                                术后全切影像

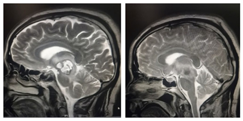
在前不久,医院神经外科王知非教授团队还成功开展了另一例高难度脑深部病变手术。

术前肿块影像                                                术后全切影像

今年40多岁的患者葛某是一位大货车司机,今年三月中旬在云南省驾驶货车途中突发剧烈头痛,致使左侧肢体瘫痪,言语不清。所幸及时送医,随后诊断为脑干区海绵状血管瘤并出血,手术风险难度极大,如再次出血则凶多吉少。几经周折,患者找到中南大学湘雅三医院神经外科王知非教授团队,王知非教授团队为其制定了详细周密的手术方案。3月30日,在全麻插管下为患者成功实施了右侧脑干丘脑血管畸形切除及血肿清除术。术后患者恢复良好,偏瘫言语不清等症状得到了明显改善,目前已出院前往康复医院继续后期康复。

近年来,随着中南大学湘雅三医院及神经外科的发展,医院接收患脑干肿瘤及各类脑深部复杂的病例不断增多。脑干及脑深部肿瘤手术普遍存在风险高、时间长等特点,但随着神经外科颅底显微神经外科技术不断成熟,以及神经内镜和定向导航等新技术的应用,医院神经外科手术的安全性得到了充分保障。中南大学湘雅三医院神经外科自成立以来,在院领导及几代科主任带领下不断发展,医院神经外科全体医护今后还将继续运用好精湛的技术为更多患者解决颅脑疾患。

预约挂号:0731-88618576、88618577   急救电话:0731-88618120

医院地址:湖南省长沙市河西岳麓区桐梓坡路138号 中南大学湘雅三医院 版权所有

湘教QS3-200505-000574 备案序号:湘ICP备05001139号 今日访问人数:186737 总访问人数:587202047

技术支持:长沙网站建设-国捷人工智能