9月17日,中南大学湘雅三医院心血管内科心律失常与心力衰竭亚专科张志辉教授及叶飞博士团队成功为一名猝死高危的Long QT综合征患者植入全皮下植入式心律转复除颤器(S-ICD)。本次植入病例为湖南省首例,开创了湖南省猝死预防新纪元。

患者为41岁男性,因“发作性意识障碍晕倒3天”入院,入院后5天内两次发作尖端扭转室速、心室扑动、心室颤动,经体外除颤抢救转复。动态心电图显示患者有长QT间期综合征。为心源性猝死的二级预防患者,是植入心脏转复除颤器(ICD)的一类适应症。传统的ICD是经静脉穿刺将除颤导线植入患者心脏右室内,而全皮下植入式心律转复除颤器(S-ICD)的电极导线是穿行在患者的胸骨及肋骨区域的皮下组织内,具有避免传统经静脉起搏器相关的导线、静脉系统及远期囊袋破溃等并发症,保护静脉通路的优势。患者体型瘦高,较为年轻,是SICD植入的推荐人群。经与患者及家属充分沟通后,患者家属要求植入SICD。术前应用自动筛查工具(AST)对患者进行体表心电图筛查:左侧和右侧的三个向量有两个通过测试,符合植入前筛查标准,可以植入S-ICD。

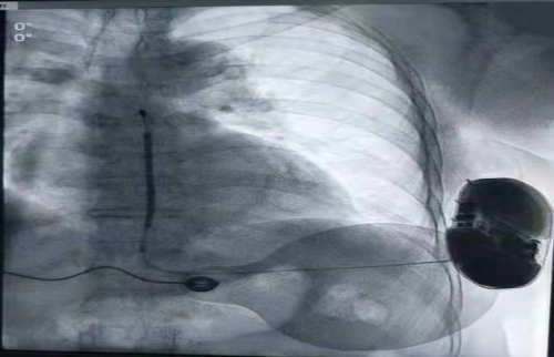
综合以上因素,张志辉团队经过充分的术前讨论后,于9月17日为患者成功植入SICD。术前经过X线透视一次,确定最佳感知位置,并用记号笔标识,关闭射线。手术在无射线的情况下,50分钟顺利结束,并且术中进行诱颤测试。采用50Hz,200mA交流电方式诱发室颤,S-ICD正确识别,经首次65J除颤成功,标准着SICD正式的成为患者预防猝死的利器,同时也标志着湖南省首台SICD植入成功。

张志辉表示:心源性猝死是我国心血管病患者死亡的主要原因,发病往往非常快速且毫无征兆,ICD能及时有效地识别室速并除颤,是预防心源性猝死的关键。
S-ICD是在心脏性猝死预防领域取得革命性突破的新技术。S-ICD能够提供与传统经静脉ICD相同的预防心脏骤停的治疗。它的整个系统植入于皮下,不直接接触心脏和血管,能够彻底杜绝可能的血管损伤、减少潜在的系统感染风险,保留静脉通路,避免经静脉导线植入或拔除的相关并发症,为心脏性猝死的高危患者提供了新的治疗选择。S-ICD适合不需起搏,无CRT适应症的患者植入。尤其是无静脉通路,感染风险高的患者,如经静脉ICD囊袋反复感染或者容易发生感染的糖尿病患者、尿毒症、长期接受免疫抑制剂治疗等;较年轻的患者;肢体活动较多,容易造成经静脉除颤导线磨损的患者。
据悉,张志辉教授团队多年来一直致力于心律失常及心衰的心脏猝死的研究及防治工作,成绩斐然,并牵头湖南省心衰中心省级联盟,获得了中国房颤中心及中国心衰中心全国示范中心的称号。
[上一篇] 世界首例!达芬奇机器人辅助带血管蒂髂骨瓣...
[下一篇] 胃肠外科II科参与全国“胃”、“肠”手术直...
人民网 | 新华网 | 中华人民共和国国家卫生健康委员会 | 中华人民共和国教育部 | 湖南省政府 | 红网 | 湖南省卫生健康委员会 | 湖南省教育厅 | 中南大学 | 湘雅医学院 | 湘雅医院 | 湘雅二医院 | 协和医院 | 华西医院 | 西京医院 | 瑞金医院 | 复旦中山医院 | 武汉同济医院 | 中山医院
医院地址:湖南省长沙市河西岳麓区桐梓坡路138号 中南大学湘雅三医院 版权所有
湘教QS3-200505-000574 备案序号:湘ICP备05001139号 今日访问人数:114365 总访问人数:555967625