党委信箱 | 院长信箱 | English | 投稿专线

医疗新闻

当前位置:首页 > 医疗新闻

放射介入团队成功救治一名坏死性胰腺炎肠系膜出血患者

党总支:第五党总支 科室:放射科 作者:骆雷 时间:2021-03-18 点击数:
打印 打印 字号:T| T

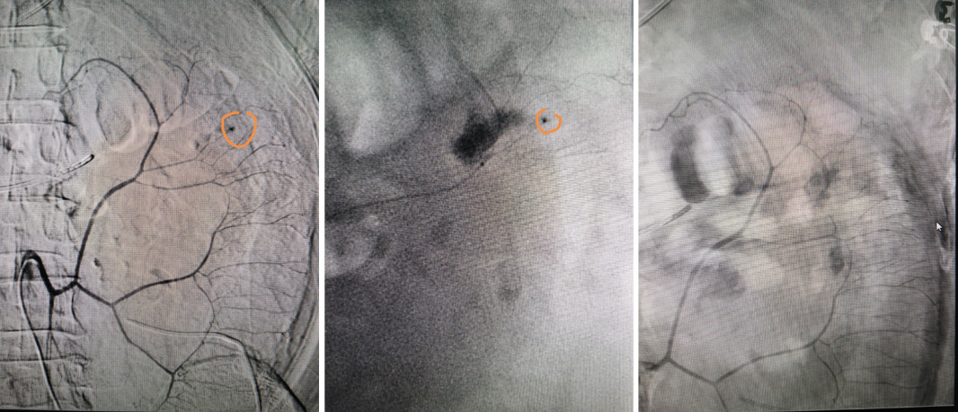
3月11日,中南大学湘雅三医院急诊EICU收治一名坏死性胰腺炎继发结肠脾区系膜大出血的患者,急诊CT报告,坏死性胰腺炎,腹部包裹性坏死物质聚集,左中腹部肠系膜区域活动性大出血,腹腔积液。医院放射科接到急诊科EICU会诊后,医院首席专家王维教授、放射科容鹏飞主任带领手术医生张声旺、骆雷仔细分析患者病情后指示,患者为坏死性胰腺炎继发结肠脾曲系膜大出血诊断明确,且血红蛋白渐进性下降,因为腹腔炎症粘连明显、外科会诊不考虑手术,虽然介入栓塞肠系膜下动脉极有可能造成结肠脾曲缺血坏死,但如不积极实施止血治疗,患者极有可能因为失血性休克导致死亡,应尽快给患者实施介入手术止血。

3月11日20:00左右,在告知患者家属病情及行急诊介入手术止血的必要性后,家属表示同意并签署手术同意书,随即患者被推入DSA手术室。放射介入团队张声旺、骆雷、郭睿、李心园迅速行经导管腹腔干动脉、肠系膜上动脉、肠系膜下动脉造影,术中造影发现结肠脾曲区域肠系膜下动脉三级小分支的末梢出血。明确出血责任血管后,考虑到结肠脾曲侧支循环相对较少,如果介入栓塞系膜动脉范围稍大就会造成肠缺血坏死、栓塞范围稍小就不能有效止血,栓塞靶血管必须非常精准才有可能有效止血并避免肠缺血坏死。放射介入团队在仔细、冷静分析患者血管具体情况后,通过微导管超选择插管并注入栓塞剂,栓塞后造影显示完全止血后患者返回EICU。介入术后患者一般情况明显好转,血红蛋白逐渐升高,3月16日患者复查腹部CT报告结肠脾曲系膜区域未见活动性出血,且结肠脾曲未见缺血征象。

放射科主任容鹏飞表示,坏死性胰腺炎患者因为胰酶渗漏非常容易造成消化道的动脉出血,这类病人一般腹腔炎症粘连非常厉害、出血猛,外科手术难度很高,介入栓塞要做到精准栓塞就能有效止血、并避免肠缺血坏死。

预约挂号:0731-88618576、88618577   急救电话:0731-88618120

医院地址:湖南省长沙市河西岳麓区桐梓坡路138号 中南大学湘雅三医院 版权所有

湘教QS3-200505-000574 备案序号:湘ICP备05001139号 今日访问人数:37369 总访问人数:557745045

技术支持:长沙网站建设-国捷人工智能