近日,中南大学湘雅三医院神经外科杨靓副主任医师团队成功为患者实施植物人DBS促醒手术,手术全程耗时约2小时。患者在术后开机予以电刺激后,意识情况有持续改善,复查CT显示电极与术前靶点重合度高、定位精准、脑电活动明显增强。术后一周,患者开始出现模糊意识反应,术后两周已可以遵嘱活动并简单交流。目前,患者已顺利出院并进一步康复治疗,该患者也很有希望重新回到正常状态。
据了解,患者彭某,36岁,4个月前,因一次意外甲醇中毒紧急送医抢救,经过一系列治疗,患者性命保住了,但陷入了持续昏迷,随后进行3个多月的康复治疗,却未见其意识改善,被诊断为植物人。在“沉睡”4个月后,不愿放弃的家人慕名找到中南大学湘雅三医院神经外科功能团队,希望能够接受脑起搏器植入促醒术治疗,期待植入的电极能唤醒患者沉睡的大脑。
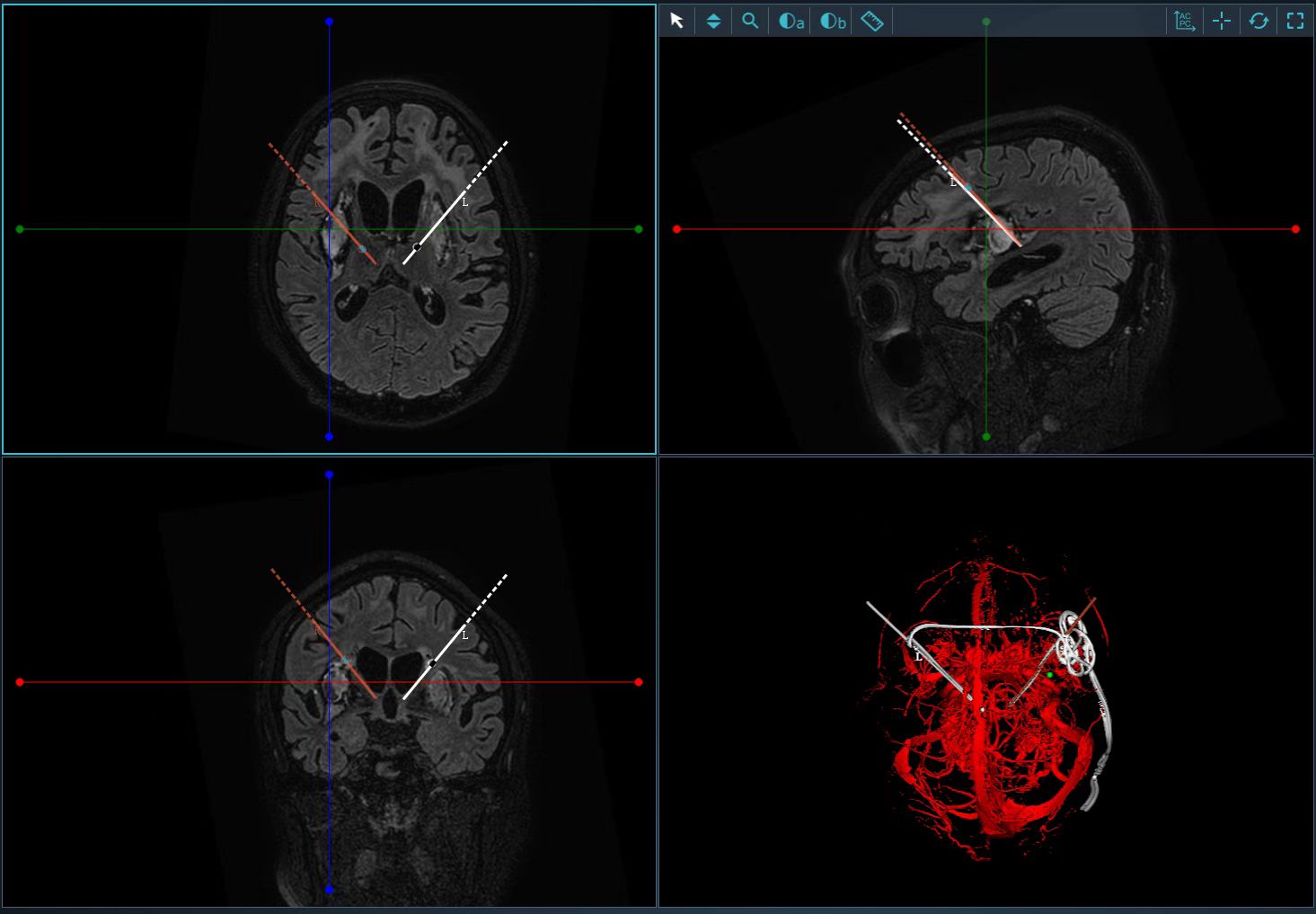
入院后,经过核磁共振、脑电图、诱发电位等相关检查,并对患者进行多次昏迷恢复量表评分,确定患者处于微意识状态。最终,杨靓团队根据患者情况决定进行中央丘脑DBS手术,即在患者脑部植入电极,刺激靶点丘脑中央中核-束旁核复合体。
8月15日,杨靓团队顺利为患者行DBS促醒手术。术中,通过立体定向框架结合电脑软件分析精准定位并验证,在一步步毫厘不差的精细操作下,精准定位穿刺点并控制穿刺深度,将两根微电极精准植入彭某大脑深部中央丘脑核团,电极植入精度均在0.15mm以内。
慢性意识障碍(DOC)即俗称的“植物人状态”,据不完全统计和估计,我国目前“植物人”存活大概20-30万人左右,每年新增患者至少10-15万人。传统的治疗方法,如药物、高压氧、康复理疗、感官及环境刺激等均效果欠佳;同时,由于患者病情的特殊性,使整个家庭和社会都承受了巨大的经济和人力负担。而DBS,又称脑起搏器植入术,通过微创手术将电极植入到大脑特定核团,发送一定频率的电脉冲,对特定核团及神经环路进行调控,从而达到改善或治疗疾病的目的,是国际上最先进的神经调控技术之一。目前,DBS在治疗帕金森病、肌张力障碍、特发性震颤、慢性意识障碍、癫痫等疾病上已取得较好的治疗效果,为慢性意识障碍患者送来福音。
中南大学湘雅三医院神经外科主任王知非介绍:脑深部电刺激治疗植物人的基本原理,是脑损伤后维持人体意识清醒的唤醒系统受到损害,现有治疗方法是通过各种手段调动机体自身功能达到恢复,但植物人往往并不能通过自身的潜能来达到这个目的,因此通过植入脑深部电刺激系统,对病人的唤醒系统施加外源的持续电刺激,提高人脑的生理电活动,从而使其达到维持意识清醒的水平。2007年,《Nature》报道1例DOC患者行中央丘脑的脑深部电刺激(DBS)治疗,使其重新恢复意识。目前,国内多家医疗机构已开展DBS治疗DOC的尝试,并且取得了积极的进展。
[上一篇] 神经外科介入团队首次采用静脉入路独立完成...
[下一篇] 医院内分泌科、糖尿病护理小组开展全院血糖...
人民网 | 新华网 | 中华人民共和国国家卫生健康委员会 | 中华人民共和国教育部 | 湖南省政府 | 红网 | 湖南省卫生健康委员会 | 湖南省教育厅 | 中南大学 | 湘雅医学院 | 湘雅医院 | 湘雅二医院 | 协和医院 | 华西医院 | 西京医院 | 瑞金医院 | 复旦中山医院 | 武汉同济医院 | 中山医院
医院地址:湖南省长沙市河西岳麓区桐梓坡路138号 中南大学湘雅三医院 版权所有
湘教QS3-200505-000574 备案序号:湘ICP备05001139号 今日访问人数:177236 总访问人数:455666196