党委信箱 | 院长信箱 | English | 投稿专线

医疗新闻

当前位置:首页 > 医疗新闻

孕28周遭遇“夺命”新冠 重症医学科携手多学科守护母子平安

党总支:第七党总支 科室:急危重症监护中心ICU 作者:邢伟 时间:2023-06-07 点击数:
打印 打印 字号:T| T

“何主任,常德有一孕28周新冠危重型高龄孕妇,双肺全白,呼吸机纯氧无法维持,需要尽快转到我们医院重症医学科抢救,可能需要ECMO支持!”

“米主任,我们马上准备,保持联系。”……

5月23日,这段焦急的话语在中南大学湘雅三医院重症医学科主任何智辉和产科米春梅主任之间进行。

当晚,孕妇从常德转入中南大学湘雅三医院重症医学科,心率150次/分,血压依靠升压药维持,呼吸窘迫,呼吸机100%纯氧勉强维持氧和,气道内可见洗肉水样分泌物,情况十分危急,胎儿及孕妇死亡风险极大。接诊的王仟陆副主任医师迅速启动“头脑风暴”,眼手脑并用,床旁超声评估、镇痛镇静、肺保护通气,精细化调整药物支持和机械通气支持参数,终于患者心率慢慢下降至正常,升压药剂量缓慢下调,窘迫的呼吸逐步平稳,严重的休克得到初步缓解,因宫内窘迫所导致的异常胎心随着妈妈氧和的改善而逐步恢复正常。

考虑到患者为高龄孕妇、胎儿为试管婴儿(珍贵儿),承担后续救治工作的邢伟副主任医师在科主任何智辉教授的指导下,针对新冠危重症孕产妇特点,在呼吸支持、抗感染、营养支持、液体管理等方面实施全方位精准治疗,反复评估,及时调整;同时,积极联系医务部,协同产科、新生儿科、麻醉科、临床药学等进行多学科MDT,充分调动医院优势资源,及时终止妊娠,早产新生儿入新生儿监护室治疗,产妇继续回到重症医学科救治,并及时启动康复锻炼。

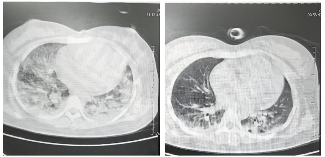
经过5天的治疗,患者肺部CT明显改善,由入院时满满的“大白肺”转变为“小白肺”,入院第6天,一只脚跨入鬼门关的患者顺利脱机拔管,于6月3日转回普通病房。目前,母子情况均良好。

中南大学湘雅三医院重症医学科常年面向社会及全院24小时应诊,是医院应对各种危重症及突发公共卫生事件的重要医疗单元,始终坚持“生命至上,人民至上”,在新冠疫情期间出色地完成了各级领导、政府部门交办的省内外抗疫任务,作为国家临床重点专科建设项目单位,在与产科合作中多次成功救治危重症孕产妇,为医院的国家妇产区域医疗中心的创建提供坚实的后盾力量,也为健康中国贡献自己的力量。

预约挂号:0731-88618576、88618577   急救电话:0731-88618120

医院地址:湖南省长沙市河西岳麓区桐梓坡路138号 中南大学湘雅三医院 版权所有

湘教QS3-200505-000574 备案序号:湘ICP备05001139号 今日访问人数:106108 总访问人数:467028774

技术支持:长沙网站建设-国捷人工智能