党委信箱 | 院长信箱 | English | 投稿专线

医疗新闻

当前位置:首页 > 医疗新闻

心胸外科利用增强现实光学全肺导航引导精准定位肺部微小结节

党总支:第一党总支 科室:心胸外科 作者:马宇超 时间:2023-04-20 点击数:
打印 打印 字号:T| T

近日,中南大学湘雅三医院心胸外科金龙玉教授团队完成一例增强现实光学全肺导航引导下放置H-Marker定位并行肺结节切除术,患者术后恢复良好,短期内可出院。该手术顺利完成,标志着金龙玉教授团队持续不断在肺小结节精准定位、精准切除方向上获得进一步的创新和突破。

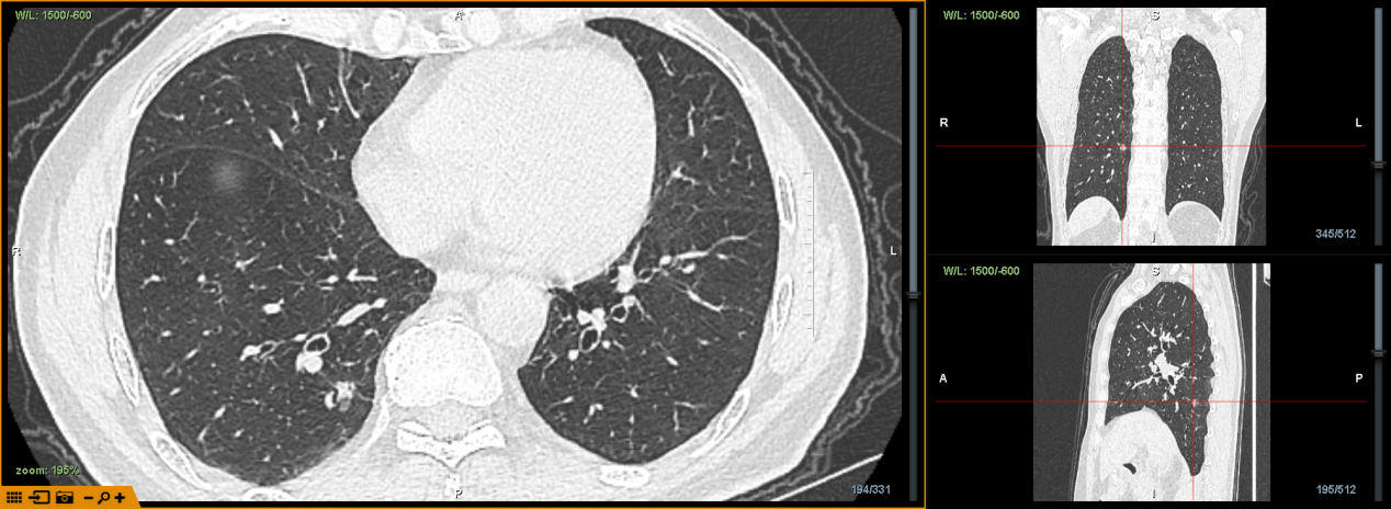
据介绍,该患者为70岁男性,由于体检时发现肺部结节2周,建议做进一步治疗,于3月收入中南大学湘雅三医院心胸外科。经胸部CT显示检查发现,该患者右肺下叶结节影,不能排除恶性,遂建议进行进一步手术。

图一:患者CT影像

术前,通过导航系统对患者进行CT三维重建规划,评估分析,患者病灶位于右肺下叶后基底段,大小约10mm*9mm,距离胸膜有一定距离。为精准定位肺结节,明确切除范围,同时尽可能保留正常肺组织,金龙玉教授团队决定应用增强现实光学导航系统引导下,在气道内使用一次性使用肺外科H-Marker金属标记物定位肺结节,行胸腔镜下微创肺结节切除术。

图二:术前评估H-Marker放置点与病灶相对位置

术中进镜顺利,增强现实光学导航系统实时匹配引导至右肺下叶后基底段,随后在规划好的位置释放H-Marker。释放后,手术团队依据标记物指引快速定位结节,遂行胸腔镜下肺楔形切除术,术后切除的标本可以清晰看到灰白色癌性结节已被精准切除,H-Marker位于结节边缘,定位精准。最终病理结果示:(右下肺结节)贴壁生长方式为主的腺癌,考虑贴壁型腺癌(LPA)。

图三:术中实景

图四:胸腔镜下可见marker一次性金属标记物

图五:H-marker和结节的位置与规划一致,术后切除的标本,可以清晰的看到灰白色癌性结节已被精准切除


据介绍,H-Marker金属标记物经人体自然腔道支气管输送至目标靶点,能减少患者痛苦;标记物的硬度适中,术中易于探查和感知,一方面可以减少术中探查结节时间,另一方面可明确切除范围而精准切除病灶,最大限度保护患者肺功能。中南大学湘雅三医院心胸外科主任金龙玉表示,后续心胸外科将借助术中导航系统精准肺切除,为每一位患者提供更有效的个性化治疗方案,精益求精地为患者减轻痛苦,解除病痛。

预约挂号:0731-88618576、88618577   急救电话:0731-88618120

医院地址:湖南省长沙市河西岳麓区桐梓坡路138号 中南大学湘雅三医院 版权所有

湘教QS3-200505-000574 备案序号:湘ICP备05001139号 今日访问人数:192929 总访问人数:548064668

技术支持:长沙网站建设-国捷人工智能