党委信箱 | 院长信箱 | English | 投稿专线

医疗新闻

当前位置:首页 > 医疗新闻

【最美医瞬间】放射科介入团队通过微创介入技术成功救治一83岁小肠出血患者

党总支:第五党总支 科室:放射科 作者:杨敏 黎姿 时间:2023-01-25 点击数:
打印 打印 字号:T| T

“有急诊手术,一位老娭毑小肠出血,出血量大,急!” 大年三十清晨五时许,中南大学湘雅三医院放射科介入值班人员接到介入总住院的电话,放射科梁琪副教授、骆雷医师、唐弘喆技师及黎姿护士迅速响应、密切协作,在DSA辅助下成功地为一名小肠出血病情危重的高龄患者成功实施了肠系膜上动脉(空肠动脉分支)活动性出血介入栓塞术。

据介绍,患者为83岁女性,入院前6天无明显诱因出现腹痛,先为剑突下,未予重视;后为全腹部、脐下明显,呈持续性隐痛,有阵发性加重,便后症状减轻,解暗红色血便数次,伴有恶心呕吐一次,反酸嗳气等症状,由家属送至湘雅三医院消化内科。入院前,患者结直肠镜提示盲肠溃疡出血可能,遂在入住湘雅三医院后采用积极止血、护胃、护肠等内科治疗,并同时完善进一步各项检查。

除夕凌晨,患者的消化道出血症状突然加重,便血量大,鲜血浸湿了整个棉被,连尿不湿都被血液浸透,很多血凝块残留。当患者送至手术室前,从家中赶来的介入手术室工作人员已做好准备工作。在这种紧要关头,大家不怕脏不怕累,分秒必争,迅速为患者做初步清理。经过积极的生命体征监测,立即扩容,加快输血速度,备好升压药等,一系列救治的准备措施紧张而有序地进行。

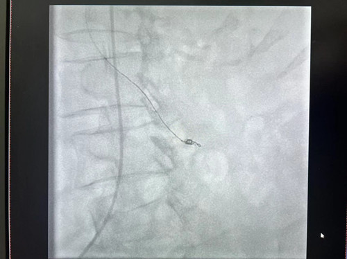
术中,梁琪副教授通过丰富的临床经验判断,与骆雷医生、唐弘喆技师配合,运用Seldinger技术,经右股动脉-肠系膜上动脉成功建立轨道,行肠系膜上动脉造影见空回肠动脉两支小分支远端造影剂呈点片状外漏至肠腔,再沿轨道顺利送入微导管及弹簧圈、可控弹簧圈成功实施栓塞。期间,为了让患者保持清醒,黎姿护士不间断呼喊患者名字,并有条不紊地配合医生工作,及时大声播报生命体征。栓塞后再次造影显示,出血动脉分支远端对比剂外溢未见显示,呈栓塞术后改变,未见异位栓塞征象,达到预期治疗效果。

术中监测患者生命体征欠平稳,血压73/49mmHg,予以输血扩容治疗。当大家看到一处处出血被止住,经过反复确认,没有发现可疑,那颗悬着的心才得以放松。术毕,细心负责的骆雷医生将患者送回病房。目前患者恢复顺利,症状明显改善,无严重并发症发生。

医生介绍,消化道出血是指食管到肛门之间的消化道发生出血,临床主要表现为呕血、黑便或便血等,轻者可无任何症状,重者伴有贫血及血容量减少,甚至休克,危及生命。下消化道出血的患病率虽然没有上消化道出血高,但是临床当中也经常发生,其中的小肠出血比大肠出血要少见,诊断也比较困难。

中南大学湘雅三医院放射介入病房成立已有4年多,四年来,病房全体医护不舍昼夜,坚守一线,即使在今年过年期间,各家各户张灯结彩迎接新年之际,医护们仍时刻守护人民健康。今年的腊月二十九,介入手术室一台手术做到了深夜,大年三十又以一台消化道出血介入手术落下了帷幕。而当大年初一的第一缕阳光照向大地,王维教授、容鹏飞教授还前往病房看望在院患者并慰问病房值班医生,这是介入病房开科以来一直延续的传统。此次,消化道出血危重患者的成功救治充分体现了中南大学湘雅三医放射科介入团队的定位和担当,以及在各类急性出血的急诊介入治疗等方面的协作水平及综合实力。

预约挂号:0731-88618576、88618577   急救电话:0731-88618120

医院地址:湖南省长沙市河西岳麓区桐梓坡路138号 中南大学湘雅三医院 版权所有

湘教QS3-200505-000574 备案序号:湘ICP备05001139号 今日访问人数:234551 总访问人数:468700057

技术支持:长沙网站建设-国捷人工智能