党委信箱 | 院长信箱 | English | 投稿专线

医疗新闻

当前位置:首页 > 医疗新闻

湘雅三医院耳鼻咽喉头颈外科攻克晚期鼻咽癌颅底修复难题

党总支:第三党总支 科室:耳鼻喉科 作者:胡南 张雪恒 陈玉 时间:2026-04-22 点击数:
打印 打印 字号:T| T

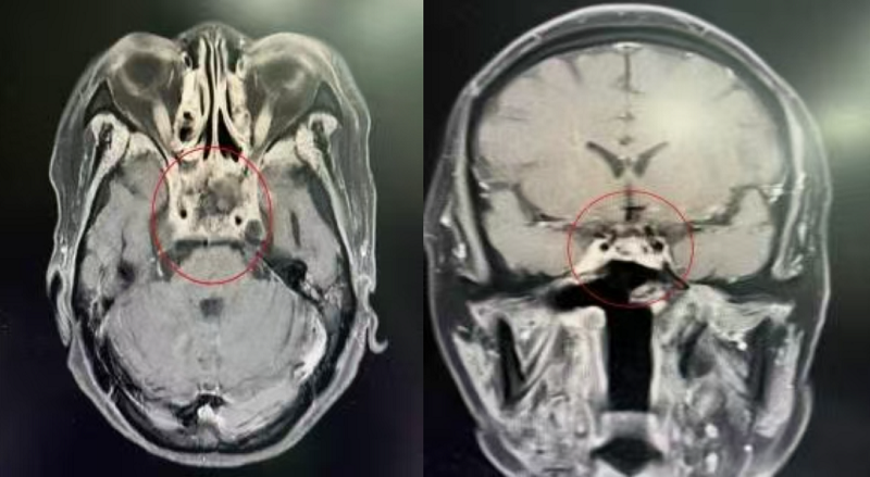
日,中南大学湘雅三医院耳鼻咽喉头颈外科鼻颅底亚专科团队成功突破颅底这一医学界公认的“生命禁区”,凭借精湛的鼻颅底外科技术,为两名鼻咽癌复发综合治疗后出现鼻颅底坏死患者成功实施复杂颅底病损切除与自体组织修复手术,为绝境中的患者带来新生。这一高难度手术的成功实施,彰显了科室在省内耳鼻咽喉头颈外科领域的标杆实力。

两例患者均为鼻咽癌复发经过再次放疗或化疗及靶免综合治疗后患者,病情已到极其凶险的地步:一例患者反复鼻出血,检查发现鼻咽部组织广泛坏死,颈内动脉被病变包绕,随时可能因致命性大出血而危及生命;另一例患者长期剧烈头痛,经反复抗炎治疗无法改善,辗转多家医院后发现颅底骨质及筋膜已大范围坏死,病变紧贴双侧颈动脉,破裂风险极高。

颅底结构复杂,紧邻颈内动脉、视神经等关键生命中枢,操作空间极其狭窄,稍有不慎便可能造成不可逆损伤;而放疗后组织血供差、感染风险高,传统人工材料修复又不容易存活、容易进一步加重感染等严重并发症,而能就近取材的鼻中隔黏膜瓣覆盖缺损范围小,治疗一度陷入困境。面对这一被视为“生命禁区”的手术,鼻颅底亚专科团队没有退缩。

为给患者争取一线生机,在学科带头人谭国林教授和科室及鼻颅底亚专科主任王天生教授的组织下,鼻颅底亚专科团队贺广湘教授、陈玉副主任医师、郜儒主治医师等迅速集结,开展多学科会诊,为两位患者量身定制了“鼻内镜下颅底病损扩大切除+自体带血管蒂颞肌瓣修复” 的个体化治疗方案,并为高风险患者制定了颈动脉结扎、气管切开等应急预案,确保能及时应对术中突发情况。

手术中,团队以“绣花”般的精细操作,在鼻内镜的辅助下,沿着病变边界小心翼翼地清除坏死组织,在毫米级的空间内精准保护颈内动脉、视神经等关键结构,成功为患者“拆除”了潜伏在颅内的“定时炸弹”。更具突破性的是,团队摒弃了传统人工材料修复方式,采用自体带血管蒂颞肌瓣转移修复技术,通过“取己之材,补己之缺”的方式,将患者自身血运丰富的颞肌组织精准转移并覆盖在颅底巨大缺损处,重建起一道密闭、坚固的生理屏障。这一技术不仅完美解决了颅底重建难题,更凭借自体组织高存活率、强抗感染的优势,从根本上杜绝了脑脊液漏、感染致颈内动脉大出血等致命并发症,为患者的安全康复筑牢了双重防线。

得益于术前周密的规划、术中的精准操作以及术后的精心护理,两例手术均取得圆满成功。患者术后恢复远超预期,住院期间未出现脑脊液鼻漏、颈内动脉大出血及严重感染等并发症,头痛、鼻出血等症状也迅速缓解,颞肌瓣存活良好,患者顺利康复出院。

此次两例高难度手术的成功,不仅为晚期鼻咽癌、放疗后颅底坏死患者提供了新的治疗路径,更标志着湘雅三医院耳鼻咽喉头颈外科在鼻颅底外科与修复重建领域,已达到国内先进水平。作为省内专科技术标杆,科室始终秉持“以患者为中心”的理念,持续学习不断提升技能,挑战医学高峰,攻克疑难重症。未来,科室将继续深耕鼻颅底外科领域,以更先进的技术、更优质的服务,为更多患者带来生的希望。

预约挂号:0731-88618576、88618577   急救电话:0731-88618120

医院地址:湖南省长沙市河西岳麓区桐梓坡路138号 中南大学湘雅三医院 版权所有

湘教QS3-200505-000574 备案序号:湘ICP备05001139号 今日访问人数:178745 总访问人数:568166632

技术支持:长沙网站建设-国捷人工智能